99 Restaurant
Restaurant
672 Boston Rd, 01821 BillericaDentist · Dentistry
+19786634303 (Telephone)
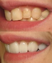
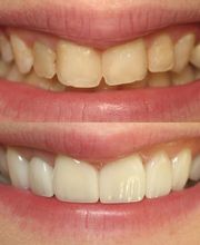
Welcome To Future of Dentistry - Billerica, a dental practice committed to healthy body dentistry for all. Preventing tooth decay and gum disease can also keep dental issues from contributing to other conditions. Our Billerica dental services include emergency dentistry, cosmetic dentistry, dental implants, general dentistry, family dentistry and more. We provide more than great dental care; we help you feel comfortable from the moment you walk into our office. Take advantage of our comfort menu as well as the latest in dental technologies, and ask our office about sedation dentistry if you are experiencing dental anxiety. The real future of dentistry is a comfortable one that does so much more than give you a beautiful smile. Call today!







668 Boston Road, 01821 Billerica
Restaurant
672 Boston Rd, 01821 BillericaDentist
662 Boston Rd, 01821 Billerica